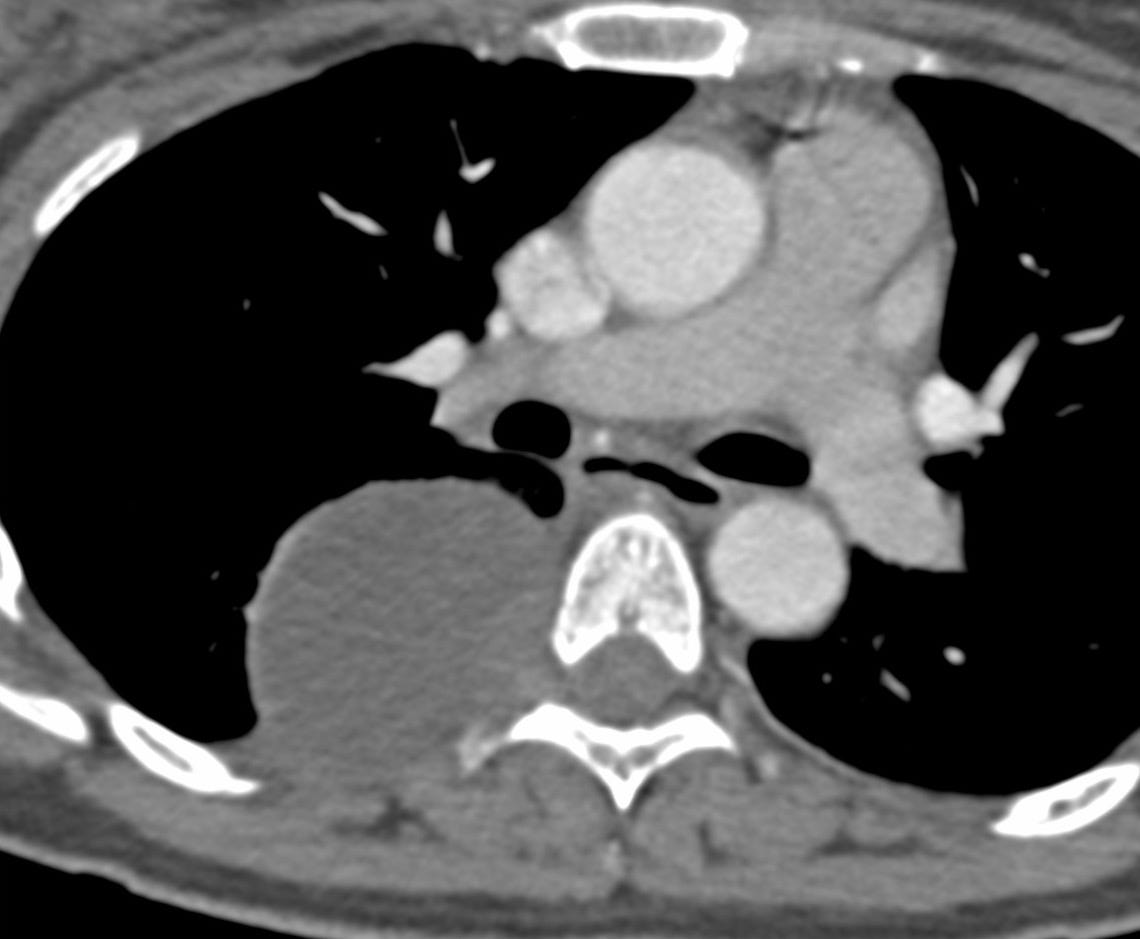
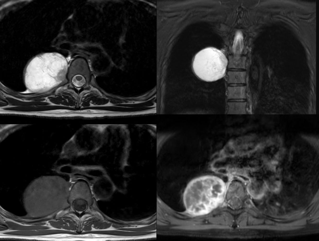
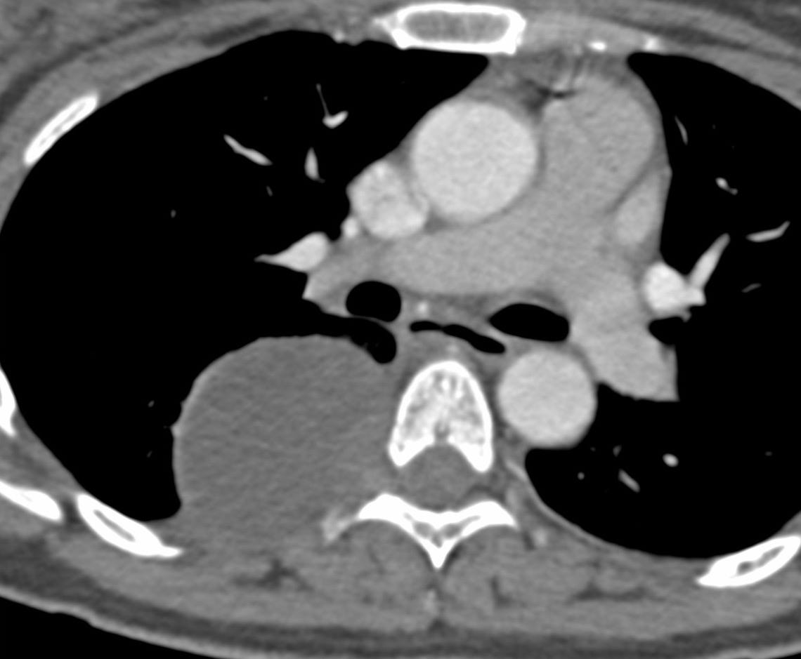
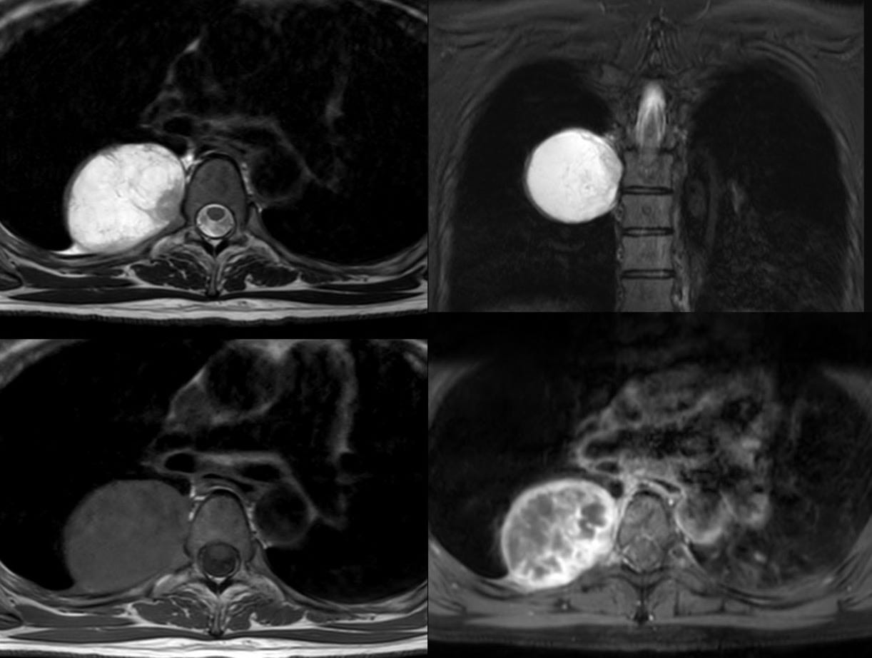
Case 23: An Incidental Posterior Mediastinal Mass
39-years old had a CT scan done for COVID-19, which picked up a mass in the chest
The Updated ToC
Case & Quiz
A 39-years old was found to have a mass in the chest on a CT chest done for COVID-19.
What is the likely diagnosis?
Paraganglioma
Schwannoma
Abscess
Hydatid cyst
The answer is here
Other Posts
https://www.ctchestreview.com/case62/
https://www.ctbiopsy.com/case97/









