Case 59: Spina Ventosa is More than Just Dactylitis
66-years old man with gradually progressive pain, without fever in the right shoulder.
Case:
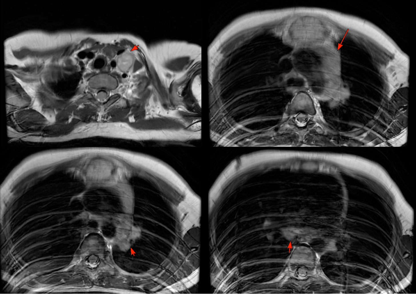
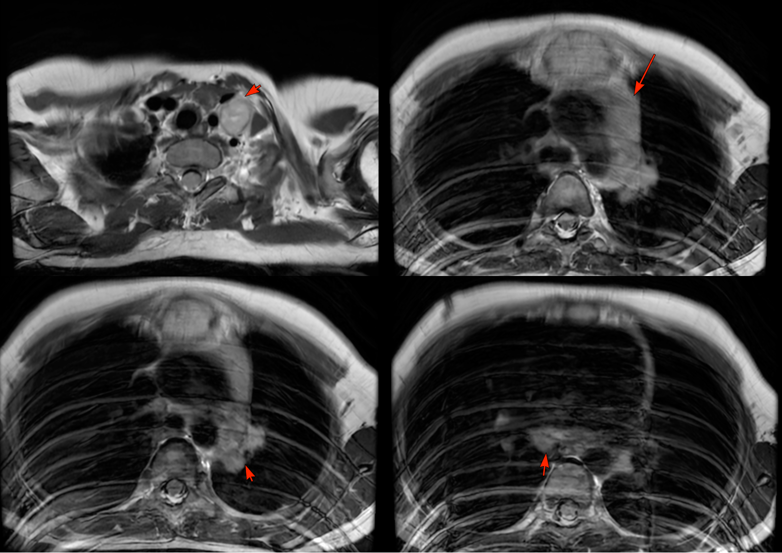
11-years old with sternal and neck swelling
MRI showed an expansile osteolytic lesion in the manubrium sternum.
There were also enlarged left supraclavicular and mediastinal nodes.
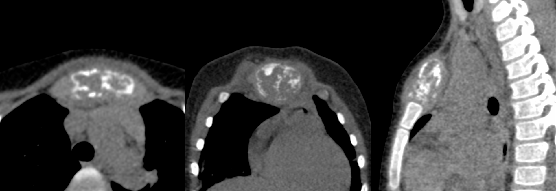
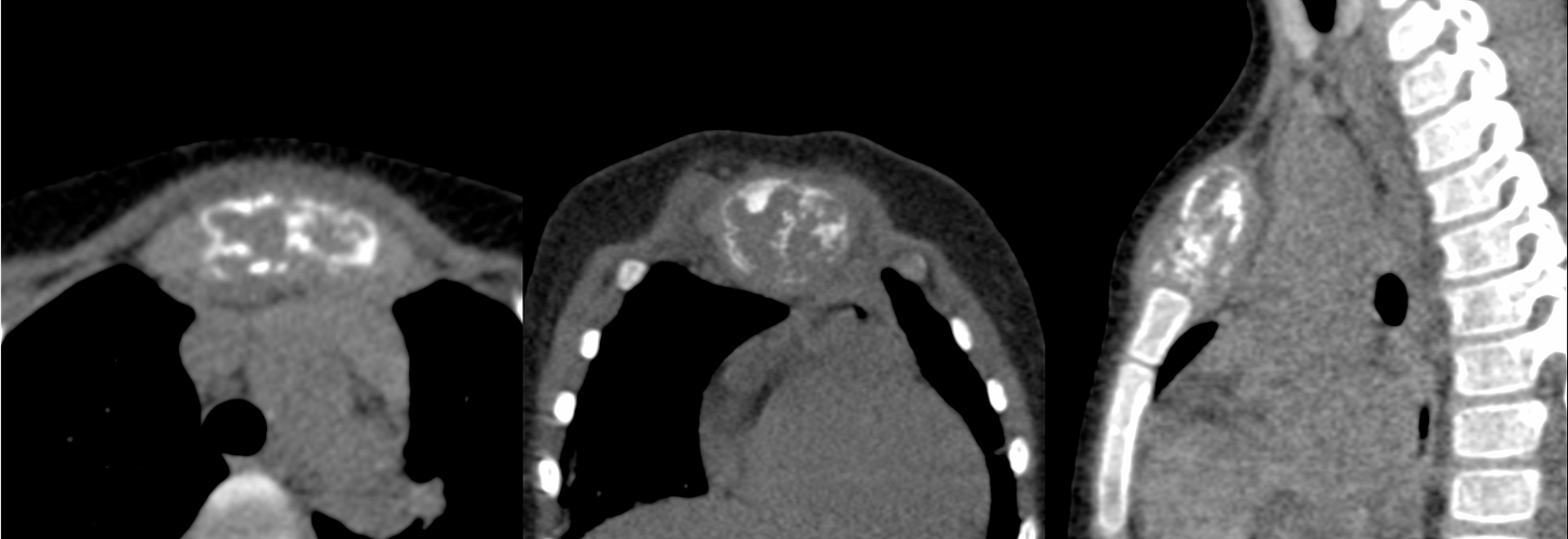
The patient was referred for a CT guided biopsy. On CT, the lesion had a “bone-in-bone” appearance.
The video describes the case, the “ballooned-out” manubrium, the concept of spina ventosa, pictures from the 18th century showing spina ventosa in different bones of the body including the craniofacial skeleton and images of different bones show spina ventosa.
In short, “spina ventosa”, though synonymous with tuberculous dactylitis in current times, can actually affect any bone in the body...phalanges and metacarpals and metatarsals are just the more commonly involved bones.
Full Video




