Case 62: The Symmetric Fascial Edema Pattern of Dermatomyositis
35-years old with dermatomyositis
Case:
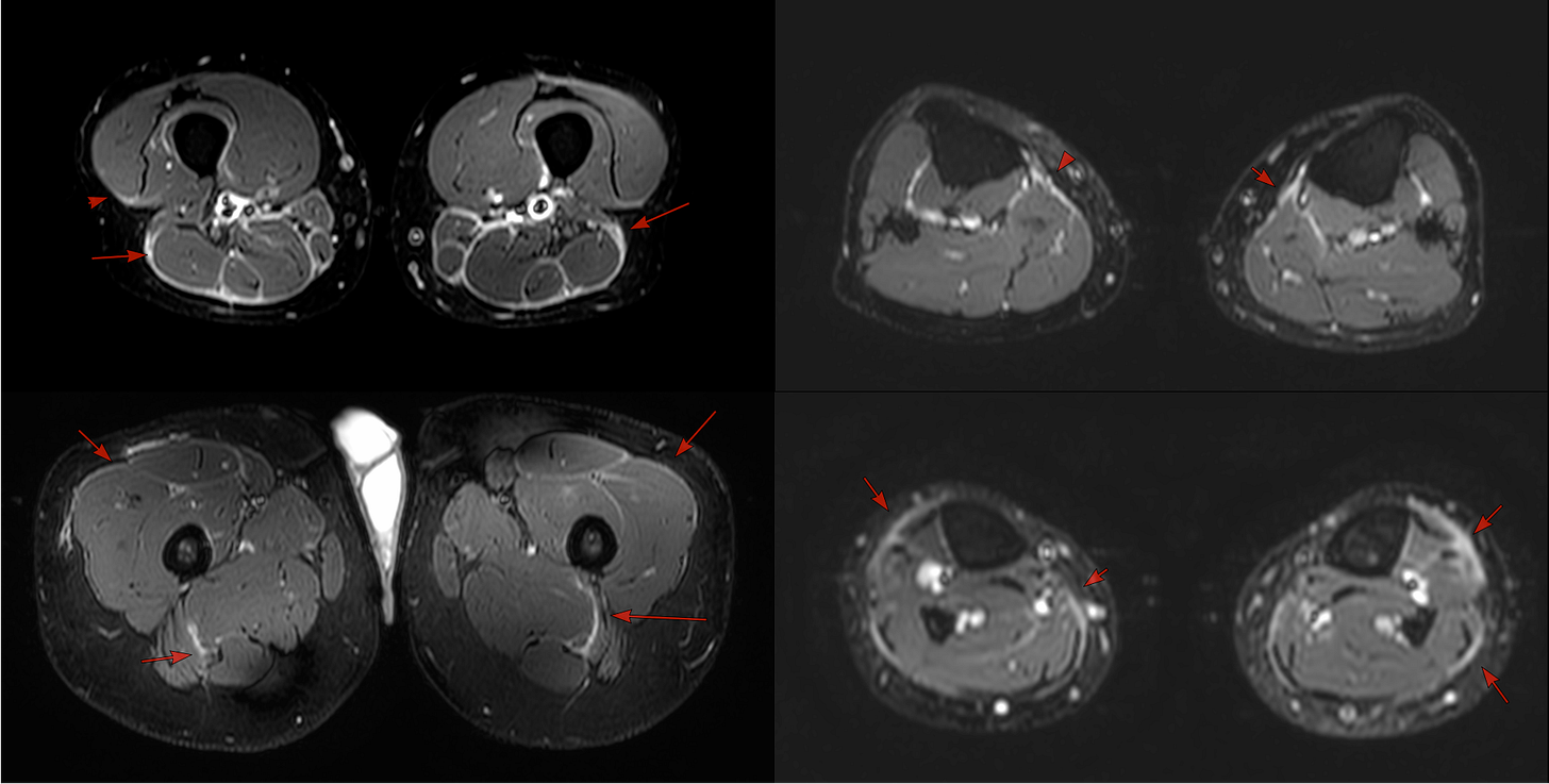
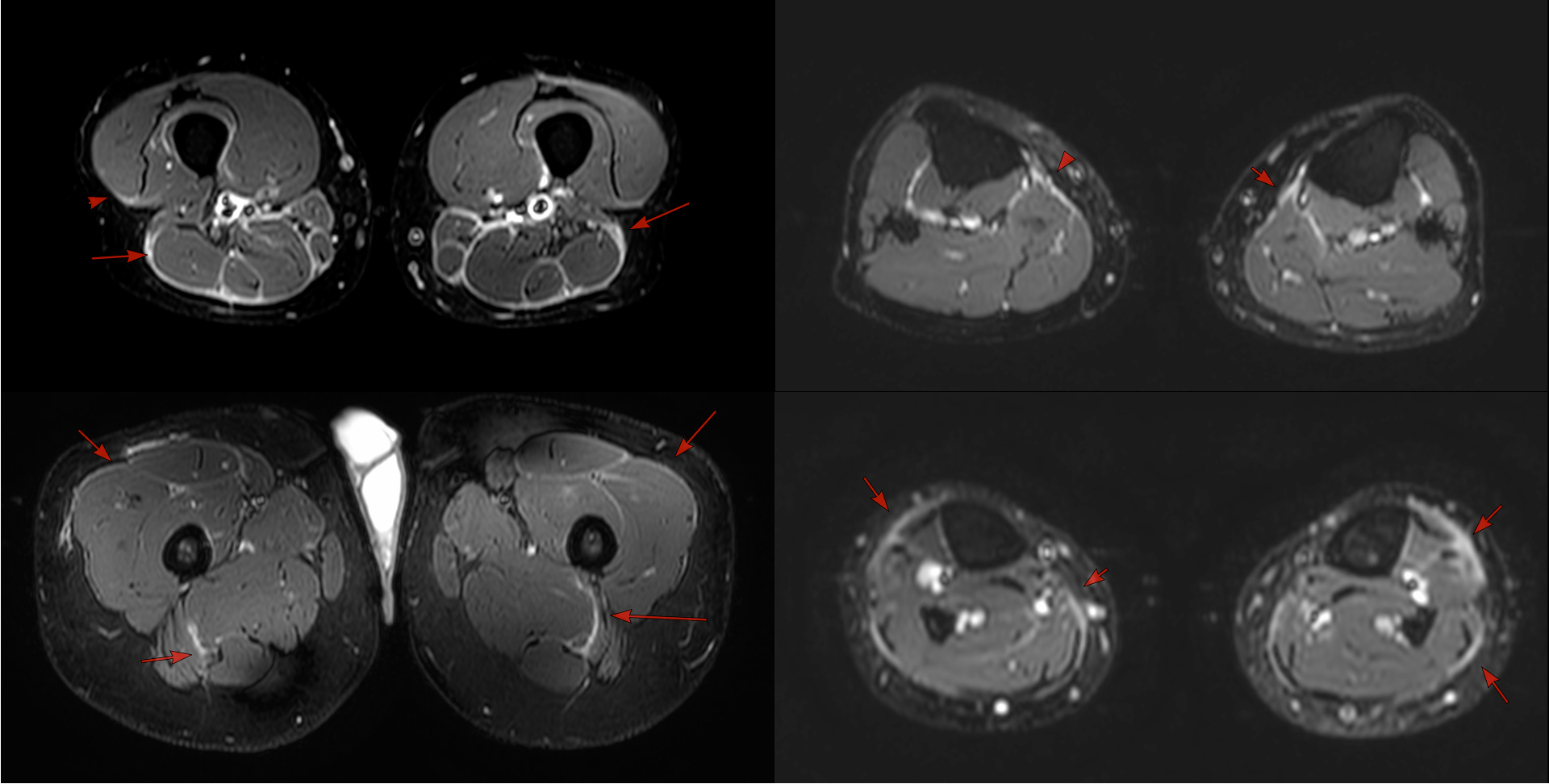
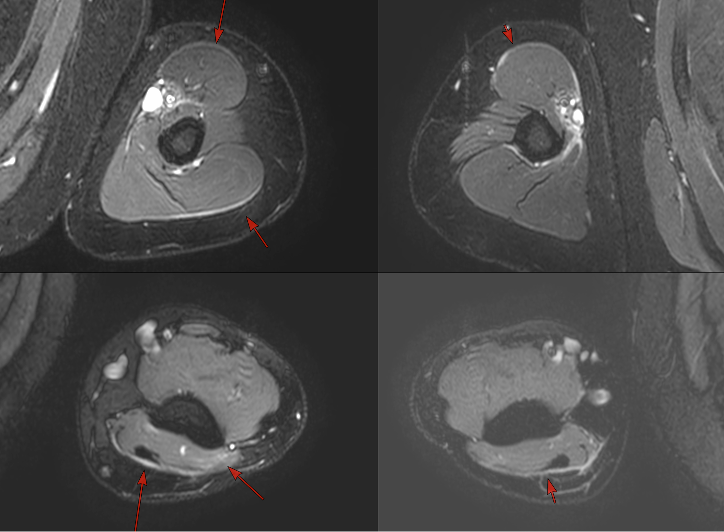
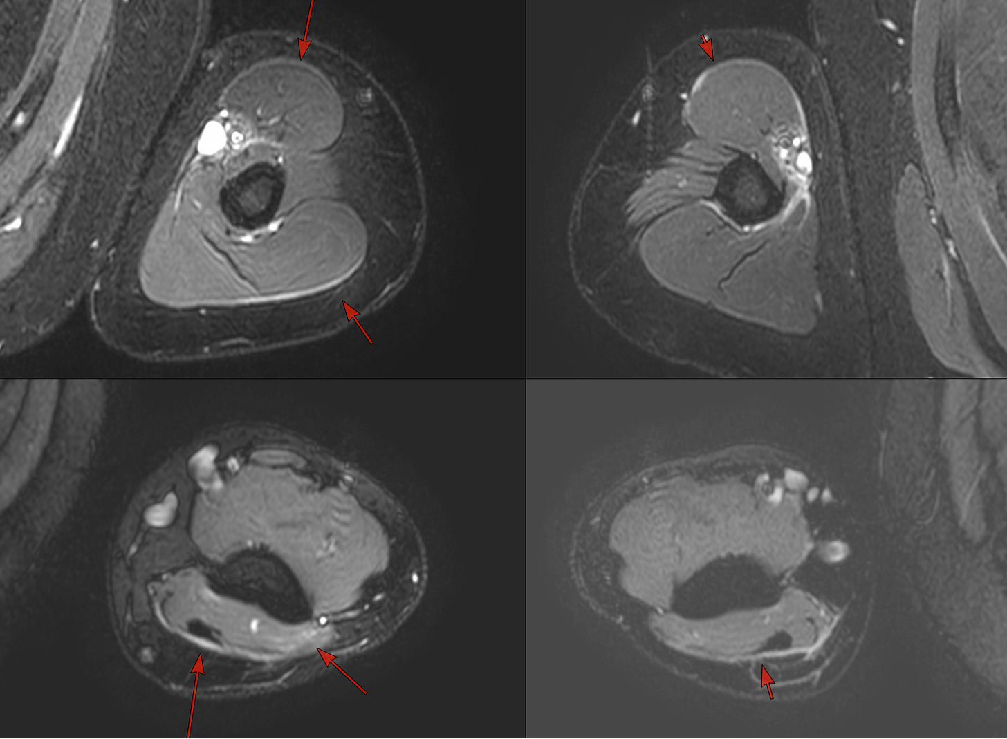
35-years old man with dermatomyositis and limb pain on treatment came for a baseline myositis protocol MRI, which showed symmetric fascial edema as depicted in the images below.
The video (published earlier as COD 053) discusses the case, the myositis protocol MRI and the various patterns of muscle involvement in different forms of myositis.



