Case:
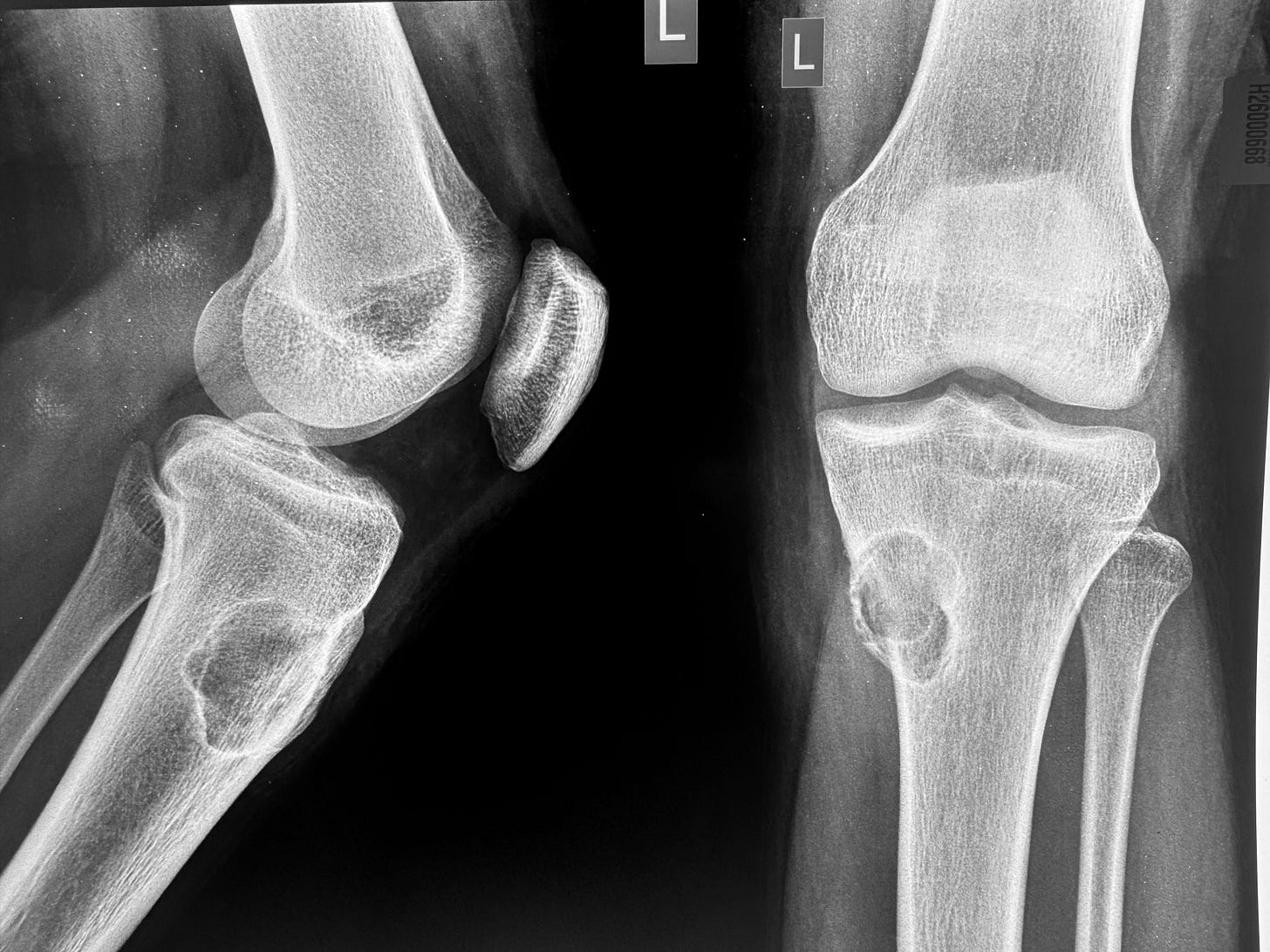
25-years old with knee pain.
X-ray shows an osteolytic lesion with a sclerotic rim - this is a benign lesion.
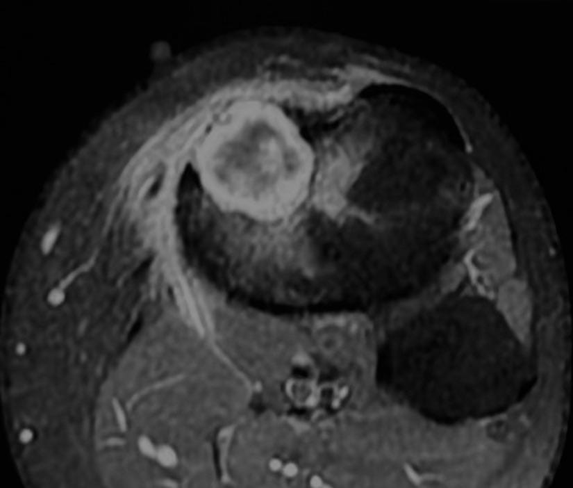
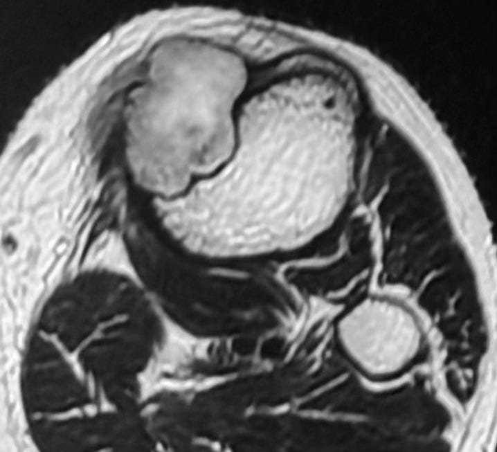
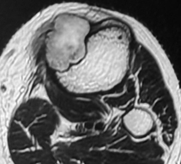
MRI shows marrow edema - this is now a “benign aggressive” lesion.
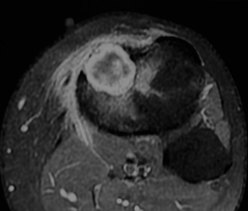
The lesion is partly T2 dark and shows a lamellated pattern of enhancement and is eccentric juxtamedullary.
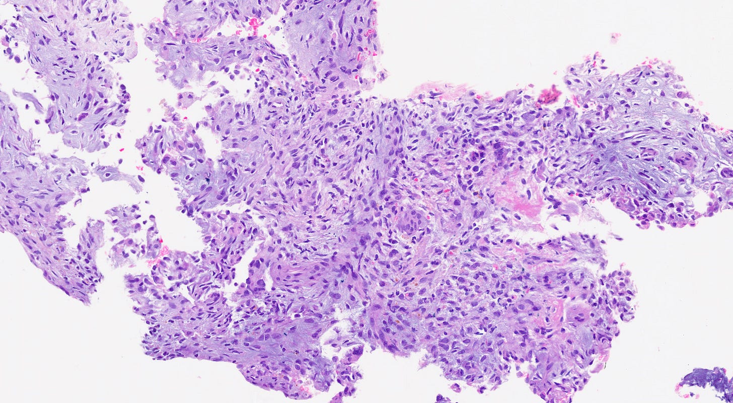
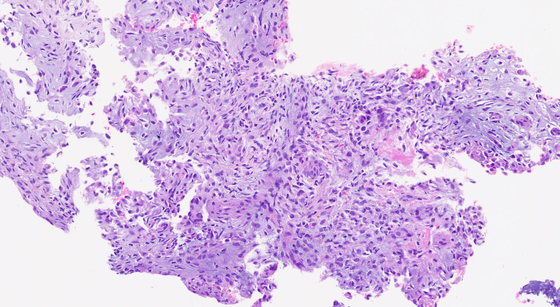
A biopsy was done.
The findings are characteristic of chondromyxoid fibroma.
To know more about the tumor.







