Case:
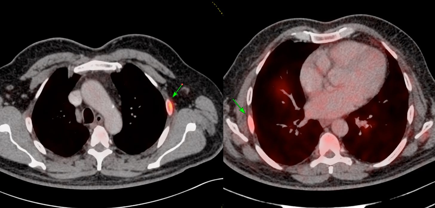
63-years old with Ca prostate had uptake on PSMA in the left 3rd rib anteriorly and right 6th rib posteriorly. The CT does not show any lesion there (Fig. 1).
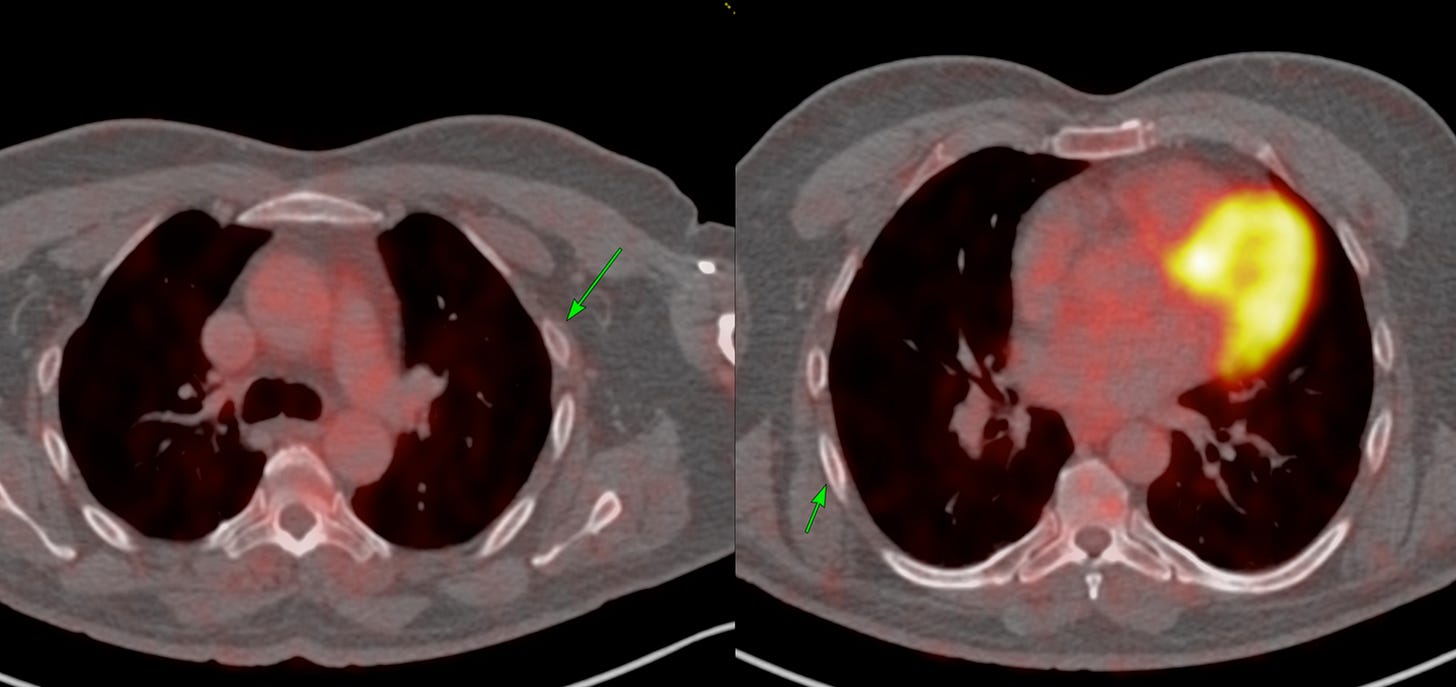
A repeat FDG PET done 2 weeks later shows no uptake in those areas and no morphologic rib lesion (Fig. 2).
This is a known pitfall with PSMA PET for some reason. Isolated benign rib uptake without disease.
One paper (Fig. 3) has these statistics - 52% of biopsy-negative lesions were in the rib and only 26% of all rib biopsies performed for metastatic cancer were positive in patients who had PSMA positive rib uptake.
Takeaway - isolated rib uptake on PSMA PET should be viewed with caution and should not be automatically assumed to be metastatic disease. These lesions should be worked up carefully assuming they are benign unless proven otherwise.




