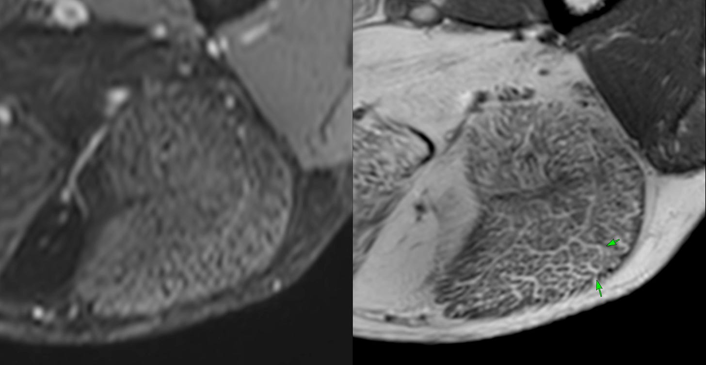
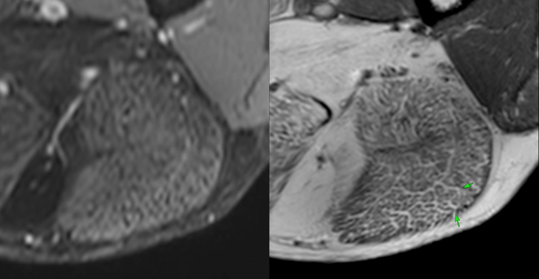
Case 63: The Honeycomb Pattern of Myositis
61-yrs old with recent diagnosis of a myopathy.
Case:
61-yrs old with recent diagnosis of a myopathy.

What is striking is the honeycomb pattern
The video describes the classic honeycomb pattern in this patient’s muscles and the implications and compares with the other patterns - fascial and peripheral/foggy described earlier in previous videos.


