Bone and Soft Tissue Neoplasms
Subscribe
Sign in
Home
Notes
Index & Table of Contents
Appendicular Bone Lesions
Soft Tissue Lesions
Axial Lesions
Whoops Lesions
CT Biopsy
CT Chest
Cardiac MRI
Atmasvasth
Bhavin's Writings
Spine
Archive
About
Mar 2026 Digest
All the Mar 2026 Action
5 hrs ago
•
Bhavin Jankharia
Latest
Top
Discussions
Case 62: The Symmetric Fascial Edema Pattern of Dermatomyositis
35-years old with dermatomyositis
Apr 20
•
Bhavin Jankharia
1
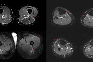
Case 61: Dermatomyositis and the Myositis Protocol MRI
55-years old with dermatomyositis
Apr 13
•
Bhavin Jankharia
Case 60: The Pitfalls of Rib Uptake on PSMA PET
63-years old with Ca prostate
Apr 5
•
Bhavin Jankharia
Case 59: Spina Ventosa is More than Just Dactylitis
66-years old man with gradually progressive pain, without fever in the right shoulder.
Apr 4
•
Bhavin Jankharia
1
Case 58: A Milwaukee Shoulder in Mumbai
66-years old man with gradually progressive pain, without fever in the right shoulder.
Mar 23
•
Bhavin Jankharia
2
1
Case 57: Hemosiderin Blooming
23-years old
Mar 16
•
Bhavin Jankharia
1
Case 56: A Benign Aggressive Tibial Lesion
25-years old with knee pain
Mar 9
•
Bhavin Jankharia
1
1
See all
Bone and Soft Tissue Neoplasms
Bone and soft tissue neoplasms - diagnosis and understanding
Subscribe
Bone and Soft Tissue Neoplasms
Subscribe
About
Archive
Sitemap
This site requires JavaScript to run correctly. Please
turn on JavaScript
or unblock scripts