Bone and Soft Tissue Neoplasms
Subscribe
Sign in
Home
Notes
Index & Table of Contents
Appendicular Bone Lesions
Soft Tissue Lesions
Axial Lesions
Whoops Lesions
CT Biopsy
CT Chest
Cardiac MRI
Atmasvasth
Bhavin's Writings
Spine
Archive
About
Latest
Top
Discussions
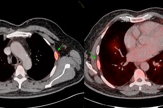
COD 152 - Large Calcific-Ossific Rib Masses
66-years old with old left Ca breast treated with surgery, chemo RT 25 years ago went for MRI shoulder, which showed rib lesions.
Feb 17
•
Bhavin Jankharia
1
COD 151 - The Enigmatic Calcaneal Lesion in Diard Area 6
16-years old with an osteolytic lesion in this specific Diard 6 area of the calcaneum.
Feb 5
•
Bhavin Jankharia
1
1
January 2026
COD 148 - A Rib Lesion with Uptake on PET
44-years old with fever and a PET showing an osteolytic lesion with uptake in the left 7th rib.
Jan 22
•
Bhavin Jankharia
1
COD 145 - A Swollen Face and The Tincture of Time
3 months old in Jul 2023 with diffuse facial swelling due to mandibular periosteal reaction and masseter edema
Jan 11
•
Bhavin Jankharia
2
1
COD 140 - Spontaneous Epidural Hematoma Resolving Spontaneously
6-years old boy with acute upper thoracic pain and intermittent fever
Jan 2
•
Bhavin Jankharia
2
1
December 2025
COD 146 - The T2 Dark Retro-Odontoid Soft Tissue
91-years old referred for a CT guided biopsy.
Dec 25, 2025
•
Bhavin Jankharia
1
COD 136 - A Swollen Metatarsal Bone
10-years old girl with a left 1st metatarsal lesion
Dec 1, 2025
•
Bhavin Jankharia
November 2025
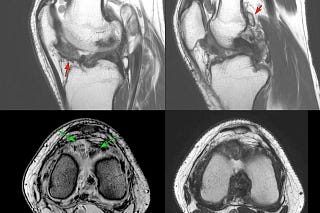
COD 134 - Epiphyseal Involvement and The Skip Lesion
15-yrs old diagnosed with osteosarcoma of the distal left femur.
Nov 24, 2025
•
Bhavin Jankharia
1
October 2025
Case of the Day 111 - Diffuse Marrow Change - Red Marrow or Diseased Marrow?
13-yrs old treated in the past for left femoral osteosarcoma with diffuse marrow change
Oct 2, 2025
•
Bhavin Jankharia
September 2025
Case of the Day 100 - 2025 09 10 - T2 Dark Thoracic Spinal Vertebral Lesion - Diagnosis?
37-years old with radiating upper dorsal pain.
Sep 14, 2025
•
Bhavin Jankharia
1
1
Case of the Day - 094 - 2025 09 01 - Between a Rock and a Hard Place
13-yrs old with a proximal tibial, bone forming, aggressive lesion, likely osteosarcoma with one failed biopsy.
Sep 2, 2025
•
Bhavin Jankharia
2
1
August 2025
Case of the Day - 091 - 2025 08 26 - How Many Signs of an Intramuscular Schwannoma?
34-years old with pain along the medial and posterior aspects of the proximal leg with a positive Tinel sign.
Aug 27, 2025
•
Bhavin Jankharia
1
This site requires JavaScript to run correctly. Please
turn on JavaScript
or unblock scripts